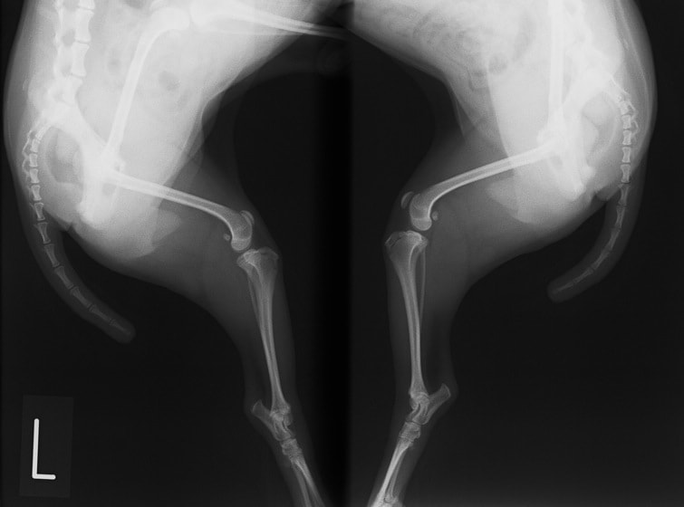
膝蓋骨脱臼
膝関節が気になる方豊玉病院まで Tel:03-5912-1255
膝蓋骨(膝の皿)が正常な位置から外れてしまう進行性疾患です。本症は先天性と後天性に分けられ、先天性のものでは、出生時からの膝関節周囲の筋肉、また骨の形成異常や靭帯の付着部の異常などが存在し、加齢とともにこれらが悪化することで、膝蓋骨の脱臼を招きます。後天性のものでは、打撲や落下などによる外傷性が原因で膝蓋骨周囲の組織に損傷が生じることで発症します。以下に詳しく説明します。症例はコチラから。
定義
膝蓋骨が大腿骨遠位の滑車溝から内方または外方に転移する状態
原因
内方膝蓋骨脱臼の発生原因は内反股と大腿骨頸の前捻であると結論づけている研究があります。また、遺伝的要素が重要と考えられており、大腿四頭筋機構の異常、股関節異常、後肢の変形との関連などが報告されておりますが、現在でも正確な病因あるいは発生機序は分っておらず、治療方針や合併症の問題に関して議論が続いています。10kg以下の小型犬に多く認められる傾向があること、大型犬でも内方への脱臼が全体の75~90%を占める傾向があります。
症状
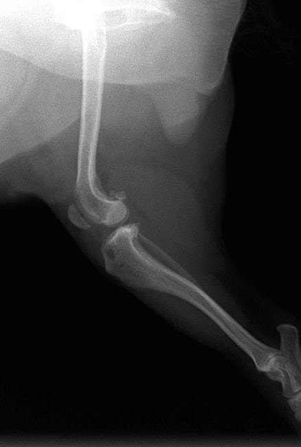
時々肢を挙上する間欠的な歩行異常が多く、常に肢を挙上するケースは少ないです。肢を後ろに伸ばす動作を繰り返し、それを主訴に来院されることもあります。日常生活において膝蓋骨の脱臼と整復を繰り返し、関節軟骨が磨耗すると症状は悪化し、歩行異常はより顕著化します。更に四頭筋機構が関節を安定化させられなくなることも手伝い、前十字靭帯断裂症が併発することもあります。
手術の適応
基本的な手術の推奨時期は、Singleton分類のグレード2で歩行異常が出る症例としています。また、無症候性の膝蓋骨脱臼が日常診療において多く見つかりますが、この場合、本当に症状が出ていないのか、飼い主が気付いていないのか、判断が難しい場合があります。よって当院では、若齢期の犬、大型犬、グレード分類(無症候のようでもグレード3の場合)などを考慮しながら手術の適応を見極めます。当院では、年間平均20~30膝の手術を行ないますが、グレード2~3(完全なG3ではないが、G3に近いG2)の症例が多い状況です。
グレード分類
膝蓋骨の脱臼は、その程度により1~4段階に分けられます。
- ■ グレード1
- 膝蓋骨は正常な位置にあり、足を進展させて膝蓋骨を指で押すと脱臼しますが、放すと自然に整復されます。無症状のことが多いですが、時にスキップ様の歩行をすることが多くみられます。
- ■ グレード2
- 膝関節は不安定で、寝起き時のように膝関節を屈曲していると脱臼し跛行したりするが、指で膝蓋骨を押すと整復できます。このレベルでは、数年間、日常生活に支障はありませんが、骨の変形が進んでいくと、膝蓋骨を支える靭帯が伸びてグレード3に移行してしまうことがあります。
- ■ グレード3
- 膝蓋骨は常に脱臼状態にあり、指で押せば整復できるがすぐに脱臼してしまいます。顕著な跛行がみられます。
- ■ グレード4
- 膝蓋骨は常に脱臼し、指で整復することはできません。
うずくまった姿勢で歩行するまたは、前肢に体重をのせ、患肢を浮かせたように歩行します。このように程度の差はありますが、痛み、腫れ、跛行、患肢の挙上など共通してみられるものもあります。特に小型犬においてよく見られる疾患で、長期間放置すると歩行異常や関節炎などに進行します。
本院では様々な整形外科手術に取り組んでおりますが、膝蓋骨脱臼の症例は、特に多く遭遇する疾患のひとつです。膝蓋骨脱臼は、その進行度に応じて4段階のグレード(グレードI~IV:Iが最も軽度、IVに近づくほど重度)に分類されます。当院ではグレードや症例にあわせて以下の4種類の手術法、
- 1.縫工筋、内側広筋の解放(medial release)
- 2.外側余剰関節包の切除と縫縮術(lateral tightening)
- 3.滑車溝深化術(deepening groove)
- 4.脛骨粗面移植術(tibial tuberosity transposition)
またはantirotational sutureなどを行い、安定した手術成績を残しています。しかし、最終グレードであるIVになり、膝関節の伸展が難しくなったり、骨格の変形が重度になると予後は不良です。状況により、治療のご説明をさせていただきます。
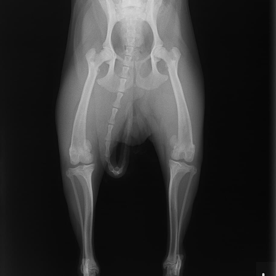
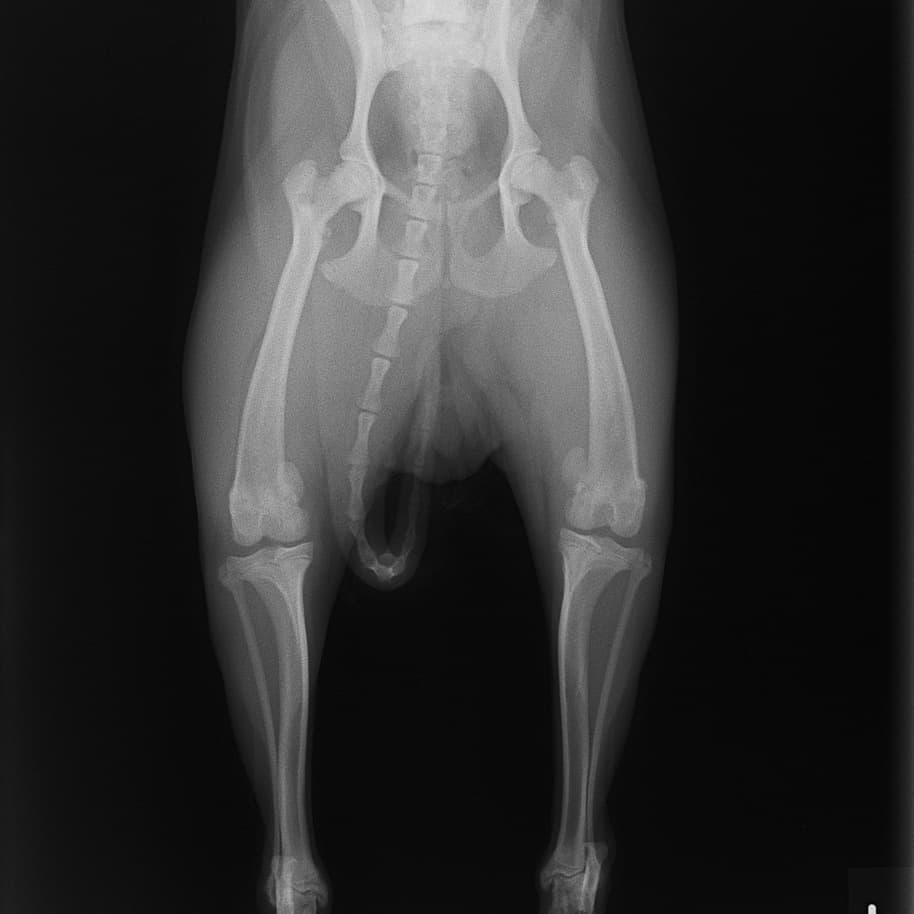
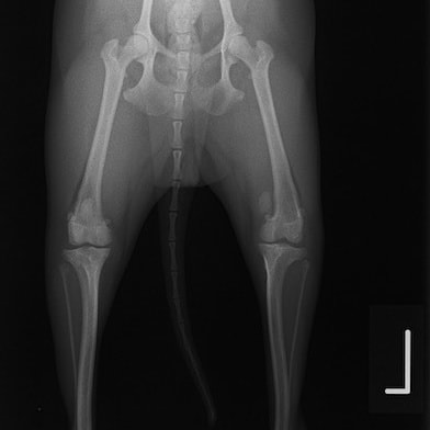
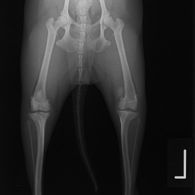
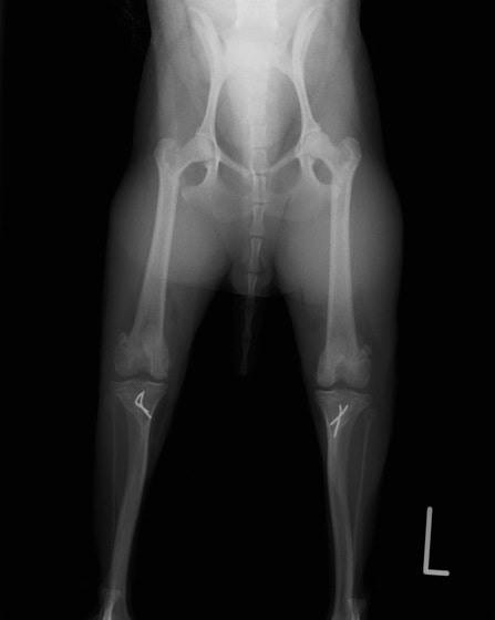
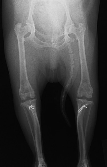
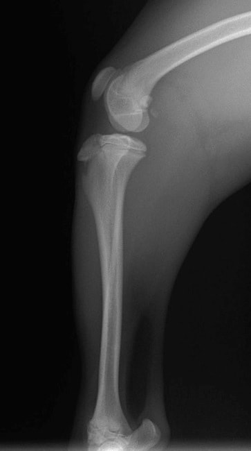
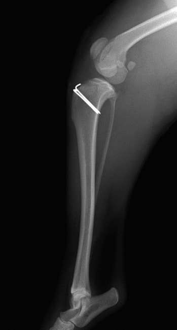
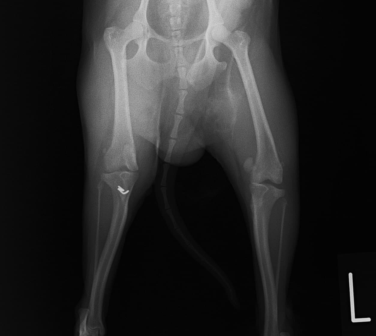
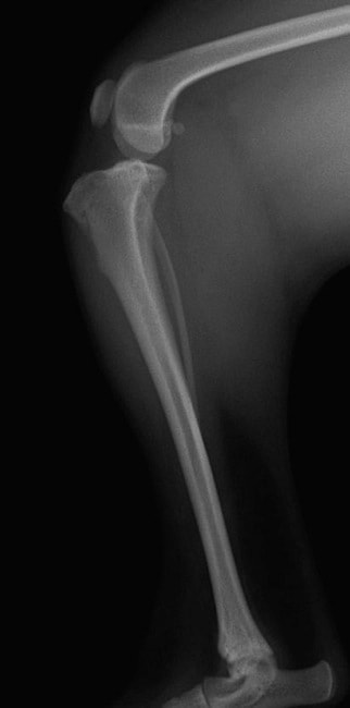
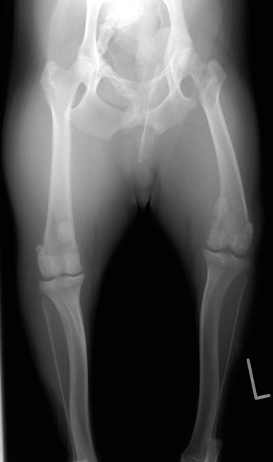
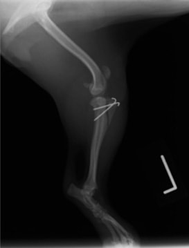
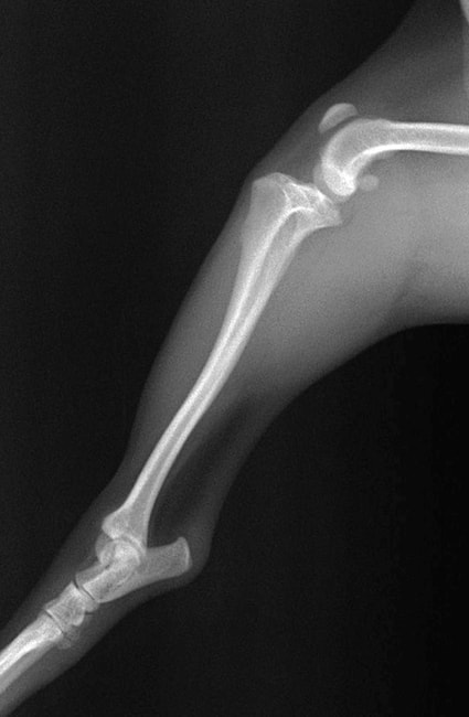
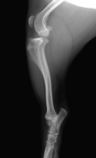
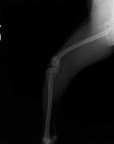
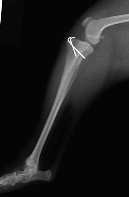
■ 症例24 キャバリア 7か月
左右膝蓋骨内方脱臼(左:グレードⅣ 右:グレードⅢ)
以前から左右後肢の跛行が認められ、整形外科学的検査・レントゲン検査により左右の膝蓋骨脱臼が認められた。症状が重度である左膝の膝蓋骨脱臼整復術を行った。外科手技は縫工筋及び内側広筋の解放、脛骨粗面の外側転位、滑車ブロック形造溝術、内外側関節方の縫縮を実施した。術後一か月時点で、左の膝蓋骨は安定しており経過は良好である。
本症例は成長期における重度の膝蓋骨脱臼であり、術後の再発の可能性もあるため、経過をしっかりと観察していく必要がある。また、今回手術を実施していない右膝に関しても経過を観察し、手術を検討していくこととする。





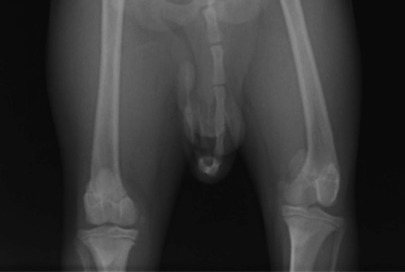
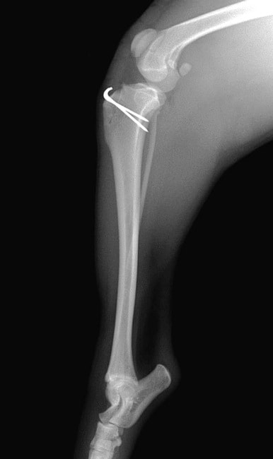
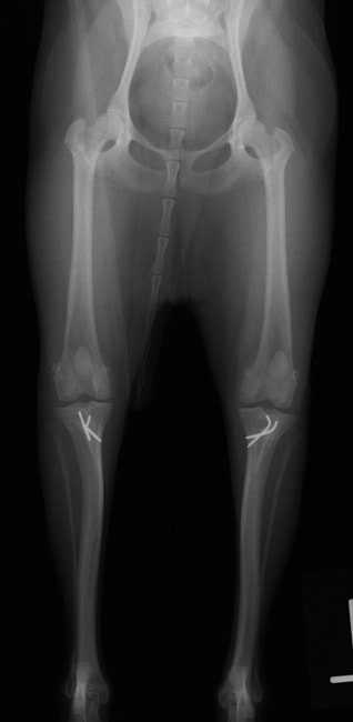
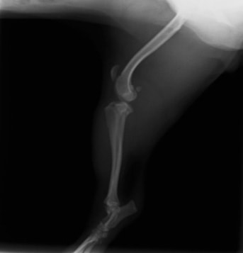
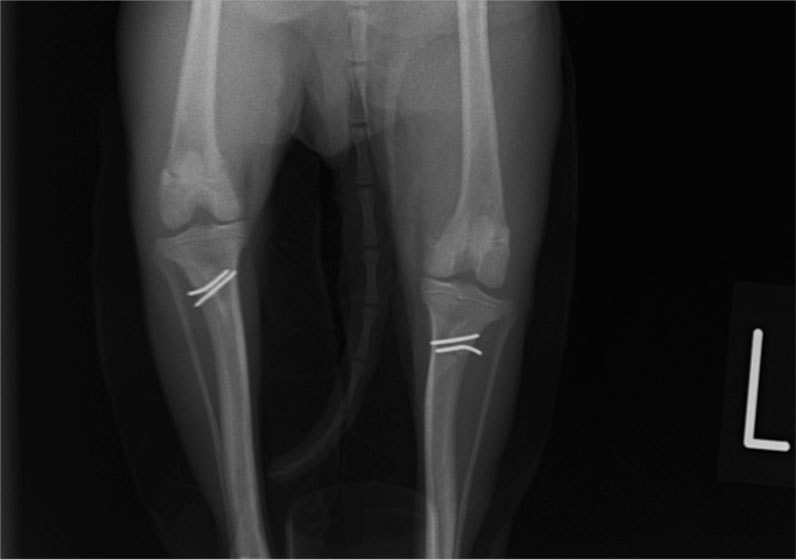
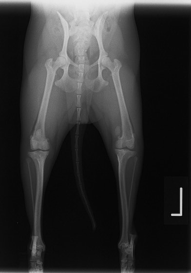
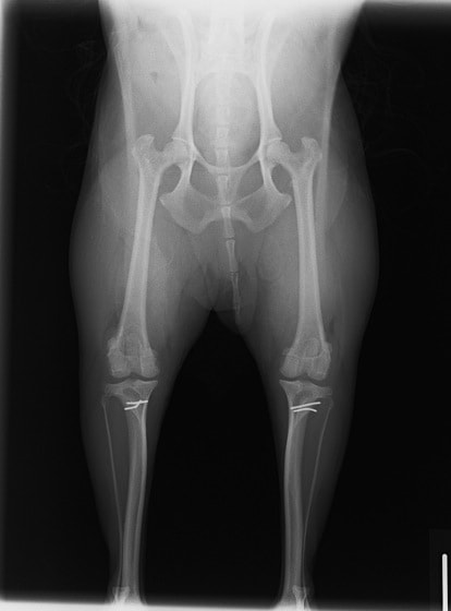
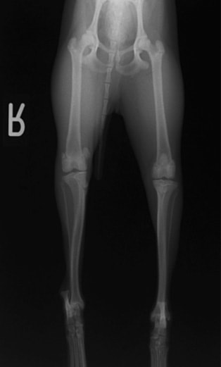
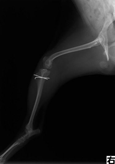
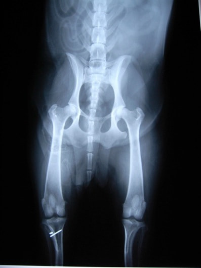
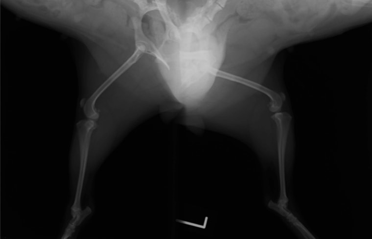
■ 症例22 ポメラニアン 1歳5か月 去勢雄
左後肢の挙上を主訴に来院した。整形学的検査、レントゲン検査より左右の膝蓋骨脱臼(左GradeⅡ〜Ⅲ、右Grade Ⅱ)を認めた。また、脛骨の前方引き出し試験の際に、引き出し兆候は認められないものの、疼痛が認められたため、前十字靭帯の損傷が疑われた。術中における、目視および関節内の操作によって、前十字靭帯の損傷や過伸展といった異常が認められなかったため、膝蓋骨脱臼の整復のみ実施した。手術手技は縫工筋及び内側広筋の解放、脛骨粗面の外側転位、滑車ブロック形造溝術、内外側関節包の縫縮を実施した。本症例は跛行もなく経過良好である。しかし、頸骨高平部の角度(TPA)が 右26.2°、左24.9°であり、解剖学的に前十字靭帯損傷のリスクが高いことから今後の経過に注意が必要である。




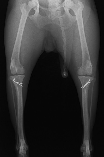
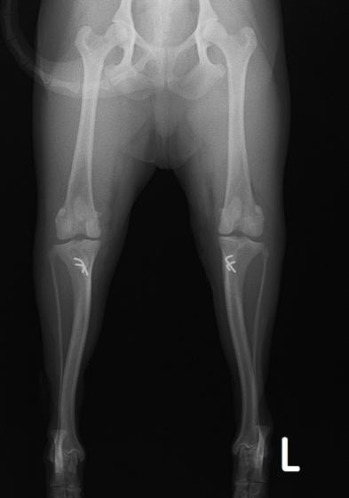
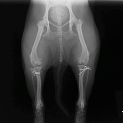
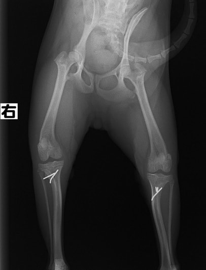
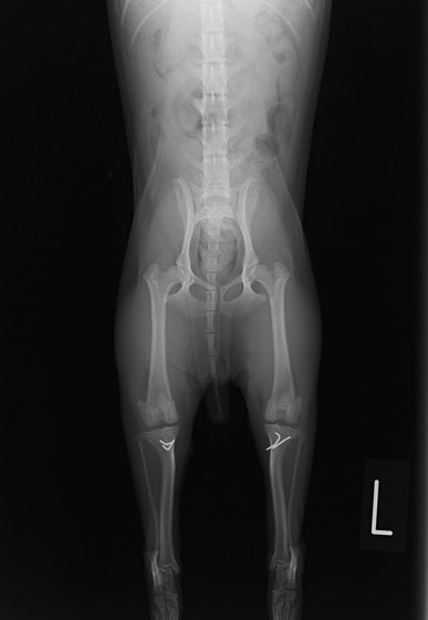
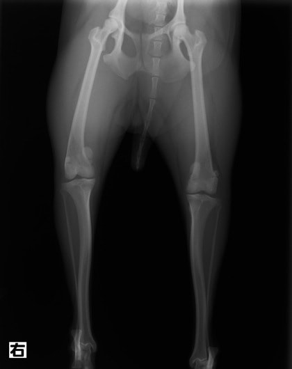
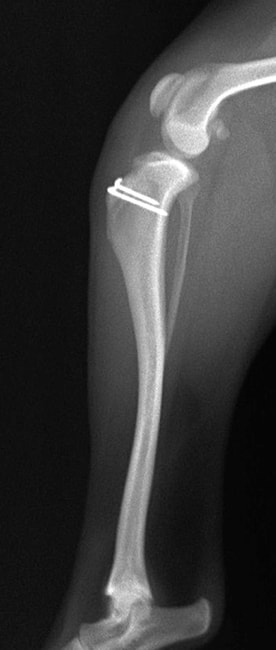
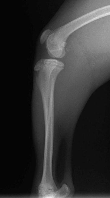
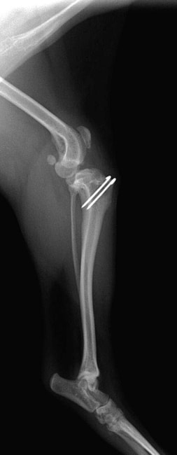
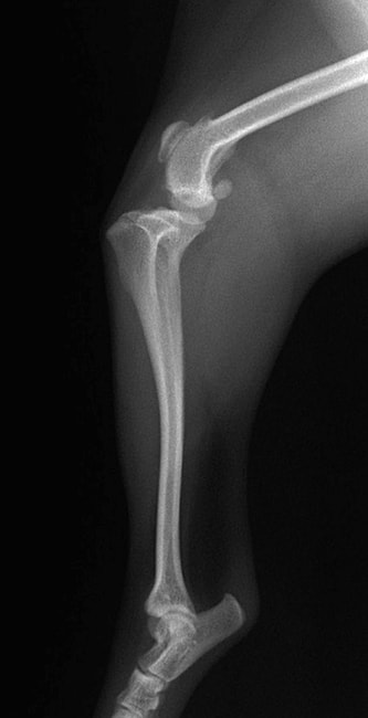
■ 症例20 ポメラニアン 8ヶ月 1.8kg
左右膝蓋骨脱臼 グレードⅢ
2ヶ月前から間欠的跛行が認められ、両膝の膝蓋骨脱臼整復術を行った。
手技は縫工筋及び内側広筋の解放、脛骨粗面の外側転位、滑車ブロック形造溝術、内外側関節包の縫縮を選択し実施した。
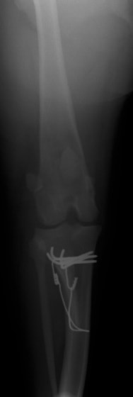
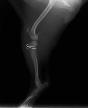
右側の膝蓋骨脱臼は上記手技で整復されたものの、左側はそれのみでは膝蓋骨が浮く様子が認められた。その為、PDS縫合糸にて膝蓋靱帯を1糸のみ縫合し、靱帯の縫縮を行った。
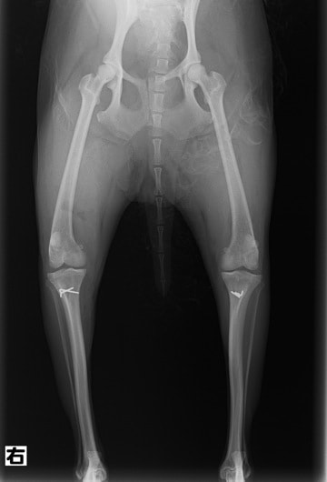
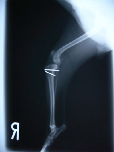
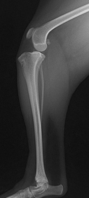
膝蓋骨脱臼は膝関節における膝蓋骨の内外側の脱臼と定義されるが、時として単純な内外の脱臼ではなく、膝蓋骨が大きく前方に浮き上がるように脱臼する場合がある。特にトイプードルやポメラニアンといった犬種に多く認められる。
内側脱臼に加えて前方への浮き上がりを矯正する為に、従来より脛骨粗面転移により膝蓋靭帯を外方と下方に引っ張り、固定する方法を選択する。膝蓋骨の前方への浮き上がりが軽度の場合は、従来法ではなく関節包の縫縮で対応していた。しかし、一部の症例で膝蓋骨の動きが悪くなり伸展機構が円滑に機能せずロボット様歩行になるケースがあった。
その為、膝蓋靭帯自体を縫縮する方法を採用した。この方法により、膝関節の伸展機構を妨げず膝蓋骨の軽度の浮きを矯正することが可能となった。
本症例の経過は良好である






膝関節が気になる方豊玉病院まで Tel:03-5912-1255




































































































































































