神経外科
椎間板ヘルニア
椎間板ヘルニアの種類
椎間板ヘルニアはHansen-I型とHansen-II型の2つのタイプに分類されます。
- Hansen-I型
- 線維輪の一部が破れ、変性を起こした髄核が脊柱管内に逸脱し脊髄を圧迫するタイプの椎間板ヘルニア。ミニチュアダックスに代表される軟骨異栄養犬種(若齢時に軟骨の変性を起こしやすい犬種:他にシーズー、ビーグルなど)におこるとされています。
- Hansen-II型
- 線維輪の変性や弾性の低下などが年齢とともに進むことにより線維輪が突出し脊髄を圧迫するタイプの椎間板ヘルニア。
椎間板ヘルニアの症状
- ・首や背中を触ると痛がる
- ・抱き上げるときキャンと鳴き痛がる
- ・段差の上り下りができなくなる
- ・震えて動きたがらない
- ・足がふらつく
- ・起立、歩行ができない
- ・排尿、排便が意識的にできない
などの症状が認められます
神経学的検査
椎間板ヘルニアを疑わせる症状が認められた場合、神経学的検査、画像診断を駆使し診断を進めて行きます。各種神経学的検査により、病変の発生部位や重症度の判定を行うために実施します。
各種画像診断

単純レントゲン検査では、椎間板物質の石灰化病変の確認や、明らかな椎間板ヘルニア以外の疾患(椎間板脊椎炎、椎体骨折、変形性脊椎症など)の除外を行います。
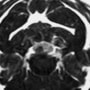
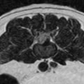
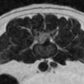
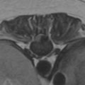
また、確定診断のためには「脊髄造影検査」「CT検査」「MRI検査」など全身麻酔下での検査が必要となります。なかでもMRI検査は、腫瘍、梗塞、炎症など様々な他の疾患との鑑別も可能となるため最も診断精度の高い検査となります。当院では、神経学的検査、単純レントゲン検査の実施の後、外科対応が必要となる椎間板ヘルニアの症例や他の疾患との鑑別が必要な症例に対し、MRI検査を実施しております。(MRI検査は動物検診センターCamiCに依頼)

〈MRI検査:胸腰部椎間板ヘルニア〉

〈MRI検査:胸腰部椎間板ヘルニア2〉
外科療法の適応
椎間板ヘルニアの治療には内科療法と外科療法があり、その重症度により対応が異なります。
頸部、胸腰部椎間板ヘルニアにおいてそれぞれ、その臨床症状、神経学的検査結果により下記のような重症度分類がなされています。
頸部椎間板ヘルニアにおける重症度分類
Grade I:頸部痛のみ、四肢の神経学的以上を伴わない
Grade II:自力歩行可能な不全麻痺、頸部痛の有無に関わらず
Grade III:自力歩行不可能な四肢完全麻痺
胸腰部椎間板ヘルニアにおける重症度分類
Grade I:初発の背部痛、神経学的異常を伴わない
Grade II:再発性の背部痛および歩行可能な後肢不全麻痺
Grade III:歩行不可能な後肢不全麻痺
Grade IV:後肢完全麻痺(深部痛覚は残存)排尿困難
Grade V:後肢完全麻痺(深部痛覚の消失)
Grade III 以上の症例および一部のGrade II の症例(内科的治療に反応しない、再発を繰り返す、MRI上で重度な病変が認められるなど)では外科手術が適応となります。
術後の回復について
- 術後の回復は、Gradeや発症からの経過時間により変化します。一般にGradeが低いほど、発症からの経過時間が短いほど回復率は高いとされるため発症後早期の診断、治療が重要となります。また、急性重度な椎間板ヘルニアの症例では、術後に手術の成否に関わらず進行性脊髄軟化症と呼ばれる病態が発症する可能性があります。
椎間板ヘルニアの症例の一部(深部痛覚消失を伴う症例の約5%に起こるとされる)において進行性脊髄軟化症と呼ばれる病態が生じる可能性があります。進行性脊髄軟化症は急性重度の椎間板ヘルニアの症例において、ヘルニアを起こした部位から脊髄の虚血性壊死が広がり、最終的には数日中に呼吸に関わる神経にも障害が生じ呼吸不全を起こし死に至る病態で、現時点の獣医療では効果的な治療法はないとされています。脊髄軟化症は外科不適応な病態ですが、各種検査でも術前に確定診断が得られないために、手術の成否に関わらず術後にこの病態を発症する可能性があります。
上記の通り、椎間板ヘルニアは早期発見、早期治療が極めて重要な病気になります。特にミニチュアダックスフント、シーズー、ビーグル、ウェルッシュコーギーなどの好発犬種で上記のような症状がみられた際にはすぐご来院下さい。当院では本疾患について、国内外で実習を受けた獣医師が複数名おり、椎間板ヘルニアの外科手術にも対応しております。
症例:ネコ 6歳 去勢オス
突然ギャンと鳴き両後肢麻痺したとのことで来院されました。触診にて腰部の圧痛を認めました。尿失禁が認められ、深部痛覚は消失していました。聴診上での異常はみられず、後肢の股圧は触知可能でした。血液検査、胸腰椎のレントゲン検査では異常を認めませんでした。MRI検査の結果、第3腰椎領域にてT1強調画像で等信号、T2強調画像で等〜やや高信号、造影剤にて均一に増強される脊髄を腹側から圧迫する腫瘤性病変を認めました。
左側の片側椎弓切除術により腫瘤の摘出手術を行いました。病理検査の結果、リンパ腫と診断されました。
リンパ腫は猫の各臓器で認められる腫瘍です。また、脊髄に発生するリンパ腫は比較的稀な腫瘍ですが、猫の脊髄腫瘍の中では最も多くみられます。脊髄リンパ腫は手術や化学療法で完治することが難しいとされていますが、多中心型リンパ腫と異なり比較的稀な腫瘍である為に化学療法のエビデンスに乏しいのが現状です。
本症例は術後の化学療法は望まれませんでした。腫瘍の影響により多少の麻痺は残ってしまったものの、手術を実施したことで本人を最も苦しめていた痛みからは解放することができました。術後は一定のQOLを保っておりましたが、残念ながら約1ヶ月後に眠るように息を引き取りました。




ミニチュアダックスフンド 9歳 避妊雌
数日前からの元気消失と震えを主訴に来院されました。触診にて頚部の圧痛と、右側前後肢の姿勢反応低下を認めました。
レントゲン検査所見として、第3、第4頚椎椎間腔における透過性の低下が認められました。
数日間の治療に対する反応が乏しい為MRI検査を行いました。MRI検査の結果、第3頚髄節にて左腹側から比較的重度の脊髄圧迫所見が認められました。
撮影当日に頚部脊髄へのVentral Slotを行い、責任病変を除去しました。
当院では頚部脊髄における椎間板ヘルニアにはVentral Slotと呼ばれる術式を採用しています。片側椎弓切除術などの他の術式と比較して術野が狭く技術を必要とします。しかしながら、手術による治療効果がとても高く、更に痛みが少ないことが利点としてあげられます。
本症例でも手術後より疼痛の緩和と活動性の改善が認められました。現在も経過は良好です。

末梢神経の腫瘍は神経鞘腫(シュワノーマ)が最も多いと報告されています。
神経鞘腫は、脊髄神経または神経根、末梢神経に発生します。
腫瘍が神経根から脊髄に浸潤すると、脊髄障害が臨床徴候として出現します。
現在、神経鞘腫の治療法は外科手術が主体になっています。
神経根に発生した末梢神経腫瘍が脊髄内に浸潤した症例
柴犬11歳 去勢オス
■ 主訴
2ヵ月に及ぶ進行性跛行(木馬用歩行)、左右後肢の固有位置感覚の消失と腰部の圧痛を認めました。
■ MRI検査
第5-6腰椎間で右側神経根が腫大し、脊柱管内に連続した腫瘤病変が認められました。脊髄および馬尾神経は右側から重度に圧迫されていました。
MRI検査所見
MRI 1
MRI 2
第4-5腰椎間、第5-6腰椎間の右側に片側椎弓切除術を実施しました。第5-6腰椎間の右神経根の腫瘤を切除、第五腰椎の硬膜切開を実施し、硬膜内-髄外の腫瘤を切除しました。
術中所見
神経根腫瘍
■ 病理検査結果
悪性末梢神経腫瘍(神経鞘腫)の診断が得られました。術後1週間より歩行・速歩が可能であり、排尿障害もなく運動機能は回復傾向にあります。今後はリハビリテーションを行っていく予定です。進行性(徐々に悪化していく)の跛行や脊髄障害は、腫瘍性疾患が関連することが多いです。経過が悪い動物にはMRIやCTなどの画像診断をお勧めします。






































































