軟部外科
会陰ヘルニア
会陰ヘルニアは、未去勢の高齢雄犬で多く報告されており、好発犬種としてW.コーギー、マルチーズ、ダックスフンド、ボストンテリア、トイプードル等が挙げられます。会陰部と呼ばれる肛門周囲部の筋肉が萎縮することにより、お腹の中の臓器である腸や膀胱、前立腺が筋肉の間から皮下に脱出する疾患です。脱出の内容や程度によって排尿障害、排便障害などが起こります。発生機序について、未だに定説はありませんが、男性ホルモンの関与など多くの因子が複合して発生すると言われています。そのため、雄犬では早期の去勢によってこの病気を防ぐことが出来るとされています。
治療
会陰ヘルニアの治療には、整復手術が第一選択となります。内科療法は支持療法に過ぎず、永続的なコントロールは困難な場合が多く、最終的に緊急手術が必要になる可能性があります。手術により、ヘルニア孔(お腹の臓器が飛び出してしまう隙間)から脱出している臓器や内容物を戻し、会陰部の筋や筋膜の機能を再建します。整復手術は、筋フラップを用いた整復法、仙結節靭帯を用いた整復法、ポリプロピレンメッシュを用いた整復法等、様々な整復法が考案されています。何れの整復法においても再発や術後合併症を伴う可能性があります。当院では、個々の患者の重症度に合わせて手術法を選択し実施しています。代表的な2つの手術方法をご紹介致します。
①坐骨骨膜を用いた整復術
会陰部の萎縮してしまった筋肉の代わりに、坐骨骨膜、仙結節靭帯、外肛門括約筋を縫い合わせることでヘルニア孔を閉鎖します。
※模式図では内閉鎖筋に糸が通してありますが、実際は坐骨骨膜に糸を通します。
②ポリプロピレンメッシュを用いた整復法
内閉鎖筋が萎縮してしまっている場合や内閉鎖筋のみではヘルニア孔が覆いきれない場合、その他、他の整復法で治療困難であった場合に適応されます。萎縮してしまった筋肉の代わりに、ポリプロピレンメッシュと呼ばれる人工補綴材を使用します。骨盤の閉鎖孔からポリプロピレンメッシュを通し、V字状に会陰部に固定し、ヘルニア孔を整復します。
術中写真 会陰部の筋肉が萎縮し、ヘルニア孔を形成
ヘルニア孔を塞ぎ、再脱出を防ぐため、ポリプロピレンメッシュを挿入
■症例5 11歳 未去勢雄 パピヨン
排便が困難になり始め、食欲が低下してきたとの主訴で来院。直腸検査にて直腸左側に宿便が貯留している憩室を認めた。
用手による摘便処置、緩下剤の内服と食餌療法をスタートしたが、排便困難が続いた為、会陰ヘルニア整復術実施に至った。
両側会陰ヘルニアを内閉鎖筋フラップ法にて整復し、直腸腹壁固定と去勢手術を同時に実施した。
術後、排便はスムーズになり食欲も安定し、経過は順調である。
耳介が何らかの原因で内出血を起こし、その血液が貯まることで耳が腫れてしまう状態を言います。この病気は耳介が大きい、もしくは垂れ耳の犬猫で発生し易いのですが、立ち耳でも発生が見られます。年齢や種類に関係なく起こります。原因の大部分は、耳の病気と関連しています。ダニなどの外部寄生虫、耳内異物や腫瘍、外耳炎などにより耳に不快を感じることから、頭を振る、耳を掻くなどし、耳の内部血管が切れて内出血、耳血腫へと到ります。
その他、咬傷や打撲などの外傷と言った物理的な刺激や自己免疫の関与なども原因とされています。
血液の除去で対処が不可能な場合は、外科的な処置を選択します。
皮下に血液が貯まり、耳が腫れている
皮膚にパンチで穴を開け、持続的に漿液を出し、貯留を防ぐ
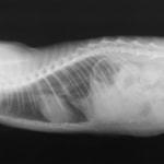
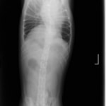
腹部と胸部を隔てている横隔膜が何らかの原因で裂け、腹部臓器(肝臓、小腸、胃など)が胸腔内に脱出してしまう病気です。脱出した臓器による肺・心臓の圧迫や、臓器の機能障害により、様々な呼吸器症状や消化器症状を示します。原因には外傷性と先天性の2つがあり、犬・猫で最も多いのは交通事故による外傷性横隔膜ヘルニアです。犬・猫の室内飼育が一般的になったことで交通事故が減り、それに伴い本疾患に遭遇することも減りましたが、屋外を自由に出入りしている猫では注意が必要です。屋外から帰った猫がお腹で呼吸をしている、苦しそうにしているなど、少しでも症状がある場合には早めに動物病院を受診し、レントゲン検査を受けられることをお勧めいたします。以下に交通事故が原因 と考えられる外傷性横隔膜ヘルニアの猫の症例をご紹介致します。
術前レントゲン
腹部臓器が胸腔内に脱出し、腹部と胸部の境界および心臓や肺の陰影が不明瞭になっています。また、胸腔内に消化管のガス陰影が認められます。

術中写真
横隔膜に開いた穴です。手術により脱出した腹部臓器を腹腔内に戻し、穴を縫合して塞ぎます。
術後レントゲン
腹部臓器が腹腔内に戻り、腹部と胸部の境界および心臓や肺の陰影が明瞭に見えるようになりました。

本疾患は、胃が拡張とねじれ(捻転)を起こす病気です。主に犬でみられ、特に大型犬に多く発生する傾向があります。食後数時間内に突然、落ち着きがなくなり、何度も何度も空吐きをしたり、涎(よだれ)を垂らすなどの症状が見られた場合は、本疾患を疑う必要があります。本疾患は死亡率の高い病気で、適切な処置を行っても全ての犬を救命できるとは限りません。そのため大型犬は日頃より、下記の予防項目に注意し、吐きたそうにするのに吐けない様子や、涎が多いなどが見られましたらすぐに御来院下さい。
好発犬種
グレート・デーン,セントバーナード, ジャーマン・シェパード,ドーベルマンなどの胸の深い大型犬
原因
詳細は不明とされていますが、胃における食物の通過時間の延長や、過度な空気の飲み込み、過食、食後の運動などが考えられています。
症状
急性の腹囲膨満、吐気、空嘔吐、よだれ、呼吸困難などが認められます。捻転や拡張が進行すると、胃壁が壊死してしまいます。また、状態が長引けば、腹部臓器のうっ血により、消化管から吸収された毒素が蓄積し、エンドトキシンショックを起こし死に至ります。
診断
身体検査上、鼓腸を伴う腹囲膨満、口腔粘膜の蒼白などが認められます。確定するには、レントゲン検査の実施が重要となります。その際、著しく拡張した胃が確認され、特徴的な捻転ラインが認められます。
治療
胃の拡張を改善するための減圧処置とショックに対する治療を行います。その後、緊急的な外科手術が必要となります。
予防
①食事を小分けに与え、一度に多量の食事を与えないようにしましょう。
②食事中は興奮させないようにしましょう。
③食後の運動を控えましょう。
④空気を飲む事が多くなるので食器を高い位置にして食事を与えないようにしましょう。
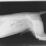
■ 症例:10歳 ドーベルマン 主訴:突然の嘔吐、虚脱
術前のレントゲン
術中写真
左)捻転した胃(右側の赤黒くみられる部分は壊死を起こしています。)
右)腹壁に胃を固定し、再発を防ぎます。

膀胱内に結石と呼ばれる石のような塊ができてしまう病気です。多くの結石はカルシウムやマグネシウムを主成分としています。膀胱内に結石ができると、膀胱を傷つけ膀胱炎を引き起こしたり、尿道への排出口に詰まり尿道閉塞を起こしてしまいます。
原因
遺伝的な体質、ミネラル含量の高い食事、膀胱の細菌感染 など
症状
頻尿、血尿、排尿障害 など
診断
超音波検査、レントゲン検査 など
治療
結石の中には、食事療法によって溶けるものがあります。
しかし、溶かすことができない結石は手術によって摘出する必要があります。
予防
飲水量を増やす、トイレ回数を増やす、結石形成に配慮した食事を与える
雄猫の尿道は、先端に向かう程細くなっており、結石や砂粒、炎症産物等が詰まりやすい構造をしています。そのため、尿道閉塞の解除が不可能であったり、閉塞を繰り返す等、内科的治療による管理が困難な場合には、外科的に尿道を縦に切り広げ、外側に縫いつけることで尿道の出口を広くする「会陰尿道瘻術」を実施します。これにより、尿道の出口が広がり、結石等による閉塞が起こりにくい状態となります。
■ 症例 雑種猫 1歳 去勢雄
トイレにいる時間が長く、1回の排尿量が少ないとの主訴で来院。エコー検査にて、膀胱内に多量の微細砂粒を認めました。また、カテーテルが尿道の途中から入っていかず、砂粒が原因による尿道閉塞を起こしていることが確認されました。カテーテルから生理食塩水を注入することにより、詰まった砂粒を膀胱内に押し戻し、一時的に尿道閉塞を解除、尿検査の結果、微細砂粒はストルバイトと診断しました。食事療法および膀胱炎に対する対症療法を開始しましたが、連日尿道閉塞を繰り返すことから、会陰尿道瘻術を実施しました。術後は尿道閉塞の再発は無く、食事療法の継続で経過は順調です。
胆嚢とは、肝臓の近くにある袋状の臓器で、肝臓で生成した胆汁を貯蔵する役割を持っています。胆嚢においては、胆嚢炎や胆泥症、胆石症、胆嚢粘液嚢腫等様々な疾患が発生し、これらが進行・悪化すると、胆管閉塞や胆嚢破裂が生じることがあります。胆嚢破裂が起きた場合、胆汁が腹腔内に漏出することにより腹膜炎が発生し、食欲不振や急性の嘔吐、強い腹痛等の症状が認められます。超音波検査にて、漏出した胆汁を確認することで診断が可能です。治療には、胆嚢摘出手術および腹腔内に漏出した胆汁の洗浄が必要であり、術後も点滴および抗菌薬や肝保護剤等による内科治療を行います。腹膜炎が進行すると命に関わる場合もあるため、迅速な超音波検査による診断 および手術による治療が重要となります。
胆嚢破裂や胆石等により胆嚢の摘出手術を実施する際は、下記の写真にもあるように湿らせた綿棒を多用し胆嚢と肝臓を剥離していくことがポイントとなります。また、出血が多い場合等は状況に合わせて、バイポーラ及びアルゴンプラズマ凝固を活用します。
■ 症例3 11歳 アメリカンコッカースパニエル 避妊メス
元気食欲の低下、嘔吐を主訴に来院されました。血液検査より肝数値(AST,ALT,ALP,GGT,T-bil)と炎症反応のマーカであるCRPの上昇を認めました。超音波検査にて胆嚢の周囲に貯留液が認められ、胆嚢破裂による胆汁の漏出と診断し、開腹手術を実施しました。開腹下にて、胆嚢壁の損傷と胆汁漏出による周囲組織の炎症が認められました。周囲組織と癒着した胆嚢を剥離し、胆嚢摘出後に総胆管の開通を確認後、腹腔内洗浄を行いました。また肝臓の病理検査を行ったところ、胆汁栓の形成と、肝炎の併発が認められました。現在内科療法を継続中です。胆嚢破裂と肝炎の併発は命に関わるリスクが高くなるため、血液検査や超音波検査による早期の診断と治療が重要です。
胆嚢の超音波検査所見
術中写真
■ 症例2 6歳 トイプードル 避妊雌
食欲不振および嘔吐、元気消失を主訴に来院されました。身体検査にて発熱と腹痛を認め、皮下点滴および抗生剤等による対症療法を実施しました。しかし、翌日、嘔吐は改善したものの食欲不振、元気消失の継続、体温のさらなる上昇、強い腹痛が認められました。血液検査にて肝酵素(GPT、GOT、ALP)および炎症の有無を調べるCRPの上昇、白血球の低下を認めました。超音波検査にて胆嚢周囲に腹水の貯留を確認、胆嚢破裂による胆汁の漏出と診断し、開腹手術を実施しました。開腹下にて、胆嚢からの胆汁漏出および周囲脂肪組織の炎症、胆嚢内における胆石の形成を確認し、胆嚢摘出手術および腹腔内の洗浄を実施しました。術後は、点滴および抗菌薬や肝保護 剤等による内科治療を行い、元 気、食欲 、発熱、腹痛の改善が得られ、経過は良好です。
超音波検査所見
術中写真
術中写真
摘出した胆石
■ 症例1 9歳 ミニチュア・シュナウザー 去勢雄
胆嚢粘液嚢腫を内科的に管理していましたが、突然食欲・元気の低下および嘔吐を主訴に近医を受診され、血液検査にて炎症反応の有無を検出するCRPの上昇およびビリルビンの高値を認められたとのことでした。既往歴や検査所見から胆嚢破裂を疑い、胆嚢摘出手術の実施のため当院を紹介され、受診されました。開腹下にて、胆嚢壁の損傷および炎症によるものと考えられる胆嚢と周囲脂肪組織および十二指腸との癒着が確認されました。周囲組織と癒着した胆嚢を丁寧に剥離した後、胆嚢摘出手術を実施し、総胆管の開通を確認後、腹腔内の洗浄を実施し閉腹しました。摘出した胆嚢内には、粘液状の粘稠性の高い内容物が多量に認められました。術後は、静脈内点滴および抗菌薬やペインコントロール、肝保護剤等による内科治療を行いました。術後から臨床症状は改善され経過は良好で7日目に退院が可能になりました。
胆嚢粘液嚢腫エコー
特発性乳び胸は、腸管由来の脂肪を多量に含んだリンパ液が胸腔内に滲み出て貯留することにより、咳や呼吸困難などを引き起こす病気です。
■ 症例1 2歳、柴犬、去勢雄
主訴:発咳の頻度増加、努力性呼吸
各種検査結果
・ 血液検査:異常なし(TG:167mg/dL、Tcho:115mg/dL)
・ 胸部レントゲン検査:胸水貯留
・ 心エコー検査:異常なし
・ 胸水の性状:乳白色、TP:5.4g/dL、SG:1.038、TG:>500mg/dL、Tcho:65mg/dL、小リンパ球・好中球主体、細胞数:少ない
・ CT検査(リンパ管造影):無気肺以外の異常なし
レントゲン画像

除外診断より特発性乳び胸を疑い、大学病院にて外科手術(胸管結紮術、心膜切除術、乳び槽切除術、胸腔ドレーン留置)を実施しました。しかしながら胸水貯留が続いたため、再び麻酔下にて胸-腹腔シャントおよびリンパ管の結紮を行いました。
その後、感染がみられたためシャントは抜去しましたが、再留置した胸腔ドレーンより胸水抜去処置を続け、胸水貯留量は減少していきました。今後も、症状に合わせて検査・処置を行う予定です。
膀胱破裂は救急疾患であり、早期の修復が必要です。
原因
外傷、膀胱腫瘍、 尿道閉塞など
症状・病態
破裂直後は血尿や無尿、腹痛のみで明らかな症状は示しませんが、その後腹腔内尿貯留に伴い沈鬱、嘔吐などが認められます。
体の中では尿腹膜症によりショック、高窒素血症、高カリウム血症など全身的な代謝異常が誘発され、危険な状態になります。
診断
レントゲン検査・エコー検査・腹腔穿刺・尿路造影検査
→腹水の存在を確認
腹水が尿であることを確認
損傷部位が膀胱であることを確認
治療
代謝異常の是正
手術による膀胱整復
■ 症例 1歳 アメリカンショートヘア 未去勢雄
高所から誤って落下し、ぐったりしていることを主訴に来院。来院時低体温・意識レベルの低下あり。
血液検査にて高窒素血症、高カリウム血症(K:7.0mEq/L)を認めました。レントゲン検査にて膀胱内にガス貯留を認めました。
エコー検査にて腹水貯留を認め、エコーガイド下で穿刺を行い腹水が尿であることを確認しました。
高カリウム血症による心停止が考えられたため、静脈点滴やインスリン投与によるカリウム値の補正を試みましたが、反応はなく数値の悪化(K:8.9mEq/L)が認められました。しかし、水和状態や体温・意識レベルの回復が認められたため、緊急手術を実施しました。







































































