神経内科
肉芽腫性髄膜脳炎(GME)
肉芽腫性髄膜脳炎(GME)は、犬の中枢神経系の炎症性疾患です。原因は、感染性、免疫性および腫瘍性因子が挙げられます。進行性GMEは、主に小型犬の2〜6歳で多く発生すると言われています。
臨床症状
病変の存在する部位により様々です。特徴として、頚部痛、眼振、斜頚、顔面神経麻痺、発作、旋回などが見られます。
診断
上記の症状が認められた場合、CT・MRIなどの画像検査が有用となります。確定診断を下すには、脳組織の生検が必要となります。また、補助診断として、脳脊髄液検査により細胞数や蛋白濃度の増加が認められます。
治療
コルチコステロイドによる免疫抑制療法や放射線療法があります。多くの症例は、治療に反応し回復しますが、再発も速く予後は悪いと言われています。
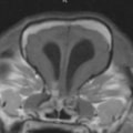
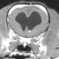
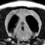
水頭症とは、頭蓋内の脳室系に異常な拡張を伴う病気です。犬や猫では、様々な疾患に起因して脳室の拡張が生じる後天的水頭症と先天性水頭症があります。先天性水頭症が好発する犬種は、チワワ、ポメラニアン、ヨーキーなどが挙げられます。
臨床症状
臨床症状は、斜視、旋回運動、発作、不全麻痺、斜頚など様々です。
診断
超音波検査、CT検査、MRI検査が有効です。
治療
内科的あるいは外科的な治療が有効な場合があります。治療の選択は、身体的な状態、動物の年齢および水頭症の原因により決まります。
■ 内科的治療
・グルココルチコイド投与:脳脊髄液の産生を減少し、脳圧の亢進を抑制します。
・脳圧降下剤
■ 外科的治療
・小動物では、脳室腹腔(VP)シャント術が多く用いられます。
正常な脳室
拡張した脳室
脳腫瘍
脳腫瘍は中枢神経に発症する腫瘍性疾患です。中年齢から高齢での発症が多くみられます。
臨床症状
腫瘍の発生部位により異なりますが、発作、旋回、意識障害、失明、性格の変化といった症状がみられることがあります。
診断
MRIによる画像検査、生検や摘出手術による病理検査により診断されます。
治療
脳腫瘍はその由来によって細かく分類され、それぞれの性質により選択される治療法が異なります。具体的には、外科手術、放射線療法、化学療法を単独、もしくは組み合わせて行ないます。
さらに、腫瘍の存在により二次的に起こる浮腫や発作に対して、脳圧降下剤や抗てんかん薬による治療が必要となります。
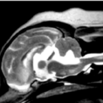
T1強調画像(造影)
FLAIR画像
Saggital画像
Coronal画像
画像は9歳のゴールデンレトリーバーの頭部MRIです。本症例は発作を主訴に来院されました。
MRI検査の結果、前頭葉に脳腫瘍が確認されました。
変性性脊髄症とは麻痺を主徴とする進行性の脊髄疾患です。ジャーマンシェパードなどの大型犬で発症が確認されていましたが、近年ウェルシュコーギーでの発症が確認されました。日本では欧米と比較して大型犬の飼育頭数が少ないこともあり、ウェルシュコーギーでの発症が圧倒的に多くみられます。
臨床症状
コーギーの変性性脊髄症の発症年齢は平均11歳で、大型犬の発症が8歳前後であることに比べると高齢です。症状は後肢から発症する進行性の麻痺で、全過程において痛みを感じることはありません。麻痺は後肢から前肢へと広がり、最後は呼吸筋麻痺を起こして亡くなります。進行速度は非常に遅く、症状がみられ始めてから亡くなるまで約3年と言われています。初期症状としては、正常時よりも大股で歩く、後脚がたまに交差する、爪が地面を擦るなどがみられます。
原因
原因については遺伝子の関与が有力視されているものの、確定には至っていません。関与が疑われる遺伝子はSOD-1遺伝子と言われるもので、坑酸化作用を有する酵素に関与しています。この遺伝子の変異により神経細胞が酸化変性するとされる説や、SOD-1蛋白の立体構造の変化が原因であるとの説などが言われていますが、現在も詳細は不明です。
診断
診断は非常に難しく、現在のところ生前における特異的な診断法はありません。神経学的検査や遺伝子検査、電気生理学的検査などの検査結果と臨床症状を照らし合わせて総合的に判断する必要があります。
治療
変性性脊髄症に対する有効な治療法はありません。リハビリテーションによって病気の進行を緩やかにさせる可能性があるとされています。また、ビタミンEなどの抗酸化物質の給与に効果があるという報告もあります。
ウェルシュコーギーの変性性脊髄症において最も問題となるのが、胸腰部椎間板疾患との鑑別です。コーギーはダックスフンドのような軟骨異栄養犬種であり、椎間板ヘルニアに代表される椎間板疾患がよく起こります。有効な治療法のない変性性脊髄症と異なり、椎間板疾患は手術によって症状の改善が認められます。治療法や予後が大きく異なるため鑑別が重要となります。
当院では、病気の進行を緩やかにすることが期待されるリハビリテーションを行うことができます。豊玉病院、石神井病院ではトレッドミルを使っての歩行を行う事も可能です。
変性性脊髄症と椎間板ヘルニアを併発したウェルシュコーギーの脊髄MRIです。椎間板物質の脊髄への圧迫像がみられます。しかし、MRIだけでは後肢の麻痺がこの椎間板の突出に由来するのか、変性性脊髄症に由来するのかの見分けはつきません。
症例:アメリカンショートヘアー15歳
排尿量が少なく、ふらつきがみられるとの主訴で来院。トイレで排尿姿勢をとるが排泄できないとのこと。エコー検査にて膀胱壁の肥厚は認めず、膀胱の重度拡張を確認。尿カテーテルは容易に膀胱内に挿入可能であり、尿道内の構造的な閉塞は確認できなかった。また、触診にて頚部、腰部の圧痛が確認された。
神経原性の排尿障害および二次性の膀胱アトニーを疑い、消炎剤や神経作動薬などを投与しつつ尿カテーテルの留置を行なった。しかしながら、著しい改善がみられないこと、最近1ヶ月の間で運動失調が悪化傾向にあることから、原因精査の為に二次診療施設を紹介。神経原性の排尿障害と診断しMRI撮影を実施した。
MRIの結果、脊髄には著しい異常は認めないものの、頭蓋内では脳室周囲に極微小な炎症像を認めた。脳脊髄液中に細胞は殆ど認められなかったものの、RT-PCRにてFIP抗原が検出された。
現在はFIPに対してシクロスポリン療法を実施し、小康状態である。



症例:フレンチブルドッグ 9歳 避妊雌
頭を撫でられるのを嫌がるという主訴で来院。来院時に頚部の圧痛を認めた。症状は消炎剤の投与により一時的に改善するが投与を終了すると直ちに再発するため、精査のためにMRI撮影を行った。
MRIの結果、頚部に脊髄空洞症を認め、頭部では水頭症および側脳室など脳内に数か所の腫瘤性病変を認めた。
頭蓋内伝播をしていることから悪性度の高い腫瘤である可能性が疑わしく、症例の頚部痛の原因と考えられる脊髄空洞症、および水頭症はこの頭蓋内腫瘤に起因する二次性発症と考えられる。
本症例の腫瘤は頭蓋内に数か所存在しており外科的切除や放射線療法は適応しにくいため、抗がん剤による化学療法の適応となった。
本症例は現在も抗がん剤(ロムスチン)による治療および脳圧降下剤などの投与であるが、症状も無く経過良好である。



症例:マルチーズ 7歳 去勢雄
けいれん発作を主訴に来院されました。発作は当日が初発発作とのことでした。来院時は、振戦と流涎が認められた為、抗てんかん薬と脳圧降下剤による治療を行いました。
稟告によると、半年前頃から徐々に視覚障害が認められたとのことでした。来院当日は両側の威嚇瞬き反応の消失、両側対光反射の消失が認められました。
MRI検査の結果、左右の前頭葉~側頭葉・後頭葉・梨状葉・扁桃体・海馬にT1強調画像で低~等信号、T2強調画像およびFLAIR画像にて高信号、ガドリニウムで増強されないびまん性病変が認められました。左側の後頭葉の一部はFLAIR画像にて等信号であり壊死、脱落の可能性が示唆されました。
以上より、壊死性白質脳脊髄炎(NLE)が疑われました。
NLEは免疫介在性の脳 炎のひとつです。体内の免疫システムが異常を起こし、脳神経細胞の壊死を引き起こします。
症例は現在、免疫抑制療法および抗てんかん薬により経過は良好です。
T1強調画像
T2強調画像
FLAIR画像
造影T1強調画像
症例:4歳 チワワ メス 細菌性髄膜脳脊髄炎疑い
突然の発作と失明を主訴に来院。数日前から食欲低下、嘔吐がみられていたとのこと。院内にて起立不能、意識混濁の状態であった。血液検査の結果、白血球の上昇、血糖値の低下、肝酵素の上昇がみられた。エコー検査にて子宮の拡大がみられた為、子宮蓄膿症と診断し子宮の摘出手術を行なった。
術後は徐々に意識レベルが改善し、起立や歩行が可能となった。退院後の経過も良好で、術後3週間目には左眼の失明は残るものの、その他の神経症状は回復した。発作症状もみられなかった。
初発日から9ヶ月後、それまで落ち着いていた発作が相次いでみられた為、MRI撮影を行なった。MRIでは右前頭葉、側頭葉、頭頂葉、側頭葉の一部に壊死や線維化を疑う所見がみ られた。側脳室の重度拡大、脳萎縮がみられた。また、後頭骨の奇形、脊髄空洞症がみられた。脳脊髄液の細胞数は正常範囲内であり、坑GFAP抗体は陰性であった。
本症例は自己免疫性脳炎、発作性脳損傷などの関与が否定できないものの、経過から細菌性髄膜脳脊髄炎やDICといった子宮蓄膿症による二次的な脳損傷が疑われる。なお、症例は現在体調良好であり、坑てんかん薬と脳圧降下剤の内服による発作のコントロールを行なっている。
T1強調画像
T1強調画像(造影)
症例:キャバリア 6歳 未避妊メス
頻回の発作と後肢の起立不能を主訴に来院されました。MRI検査の結果、小脳左側にてT1強調画像で低信号、T2強調画像で高信号、FLAIR画像にて高信号、ガドリニウム造影剤にて軽度に増強される瀰漫性病変が認められました。また、大脳の全体的な腫大、軽度のキアリ様奇形、左側の鼓室胞炎が認められました。小脳梗塞もしくはGME、およびキアリ様奇形、鼓室胞炎と診断し、抗てんかん薬、グルココルチコイド、抗生剤、ビタミン剤による内科療法を開始しました。初発発作から3ヵ月後のfollow up MRIでは小脳病変の顕著な改善が認められ、現在は抗てんかん薬のみで良好な経過をたどっています。
T1強調画像
T1強調画像(造影)
T2強調画像
FLAIR画像









































