前十字靭帯断裂
膝関節が気になる方豊玉病院まで Tel:03-5912-1255
前十字靭帯断裂は、小動物獣医外科学領域において代表的な整形外科疾患のひとつとして認識されています。前十字靭帯(Cranial Cruciate Ligament:CrCL)とは大腿骨と脛骨を結ぶ靭帯であり、膝関節における内旋や前方変位の抑制に対して非常に重要な役割を担っています。様々な症例も紹介しています。
診察手順
病因
靭帯変性、肥満、後肢の骨格異常、免疫介在性などが考えられています。
症状
靭帯断裂を生じると、膝関節は安定性を失います(ぐらぐらする)。靭帯断裂を起こした直後には重度の疼痛により、跛行を呈します。また慢性症例においても断裂後の膝関節は安定性を失っており、進行性の骨関節炎により膝関節へのダメージは持続します。
診断
整形外科学的検査:筋肉量や関節の腫脹を評価した後、脛骨の前方引き出し徴候や脛骨圧迫試験を行い、膝関節の不安定性を検出します。
- レントゲン検査:関節周囲の様子を観察します。脛骨の前方変位、関節液の増大や関節周囲の骨棘など骨関節炎の評価を行います。
- 関節液の検査:関節液の量や粘調性、色調、細胞成分などを評価します。免疫介在性の関節炎や関節内の腫瘍性疾患の鑑別検査として有用です。
- 関節鏡検査:膝関節内の構造を確認できる侵襲性の低い検査方法です。レントゲン検査や整形外科学的検査だけでは、靭帯断裂の診断が困難な場合があります。そのような症例に対しては関節鏡検査が非常に有用です。
治療
前十字靭帯断裂に対する手術法として関節内固定法、関節外固定法、機能的安定化術などの様々な手術法が考案されています。当院では関節外固定法であるラテラルスーチャー法やタイトロープ法、機能的安定化術である脛骨粗面前方転移術TTA(Tibial Tuberosity Advancement)や脛骨高平部水平化骨きり術TPLO(Tibial Plateau Leveling Osteotomy)を、動物の大きさや飼育環境、状態に合わせて選択しています。
TTA


TTAは、2002年にMontavon、Tepic、Damurにより報告された、10kg位の中型犬から大型犬に行われる前十字靭帯損傷時の新しい手術法です。TTAは脛骨高平部を変位させることなく、膝関節の力学的安定化を図る術式です。手術後短期間のうちに歩行が可能になることから、他の手術法より優れているとされています。当院では、Dr.Daniel Koch、Dr.Tepicより直接指導を受けた獣医師が手術を行っております。
TPLO

TPLOはSlocumが提唱した前十字靭帯断裂に対する手術法であり、脛骨高平部を水平に回転させる骨きり術によって、体重負重時の脛骨の前方変位を抑制し、膝関節を安定化します。犬の脛骨高平部の角度(Tibial plateau angle:TPA)は約25°と言われており、この角度を約6.5°に矯正すると脛骨の前方変位が抑えられ、膝関節が安定します。世界的にも手術成績が安定している術式です。
タイトロープ法


タイトロープ法は人工靭帯を用いて膝関節の安定化させる関節外固定法の一つです。大腿骨遠位・脛骨近位にドリルで穴を開け、Tight Ropeと呼ばれる人工繊維を通し固定します。従来の方法に比べて等尺点(isometric point)を保つ位置に人工靭帯を設置することができる為に、人工靭帯の緩みが最小に抑えられ膝関節がより安定化されると報告されています。
スーチャーアンカー法
スーチャーアンカー法は、タイトロープ法と同様に人工靭帯を用いて膝関節の安定化させる関節外固定法の一つで、タイトロープ法やTTAが適応不可である小型犬に、実施可能な術式です。
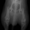
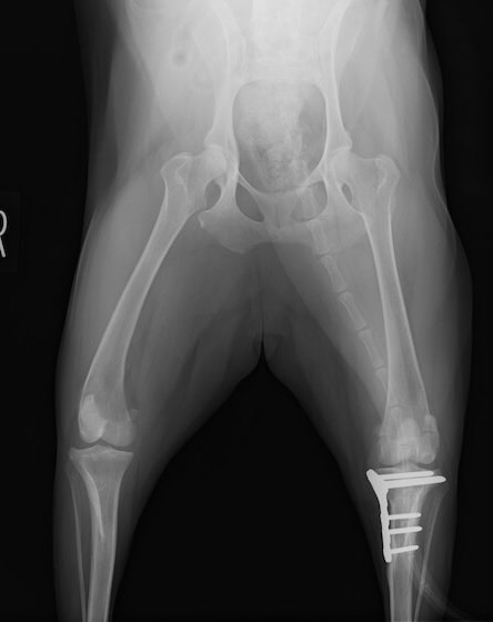
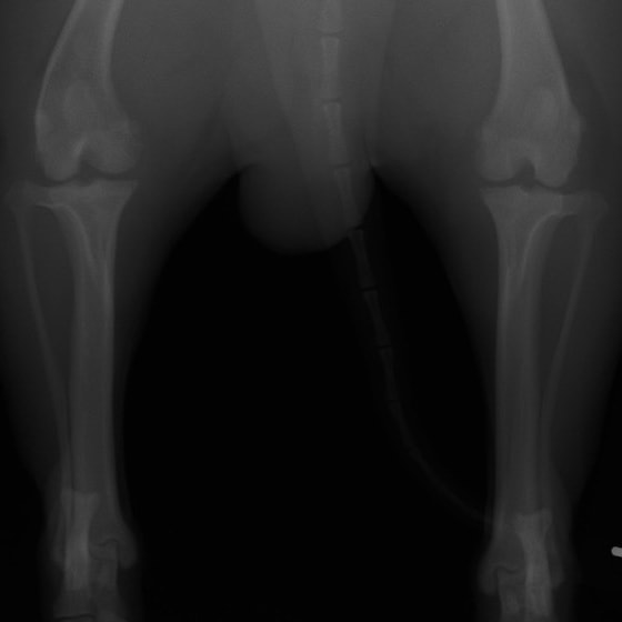
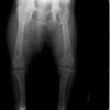
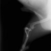
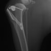
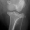
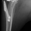
雑種犬 推定10歳 避妊雌
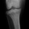
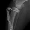
本症例は、走った後に左後肢を挙上していることを主訴に来院されました。触診時に左膝関節のクリック音を聴取、レントゲン検査にて左脛骨の前方変位が認められました。術中に、前十字靱帯の断裂及び内側半月板の損傷、内側の軟部組織の顕著な腫脹を確認。半月板切除、TPLOを実施しました。周囲組織への炎症の波及もあったため回復に時間を要しておりますが、徐々に跛行頻度は減少傾向にあり、現在も経過観察中です。術前に約29°あったTPAは術後に約10°まで矯正されました。
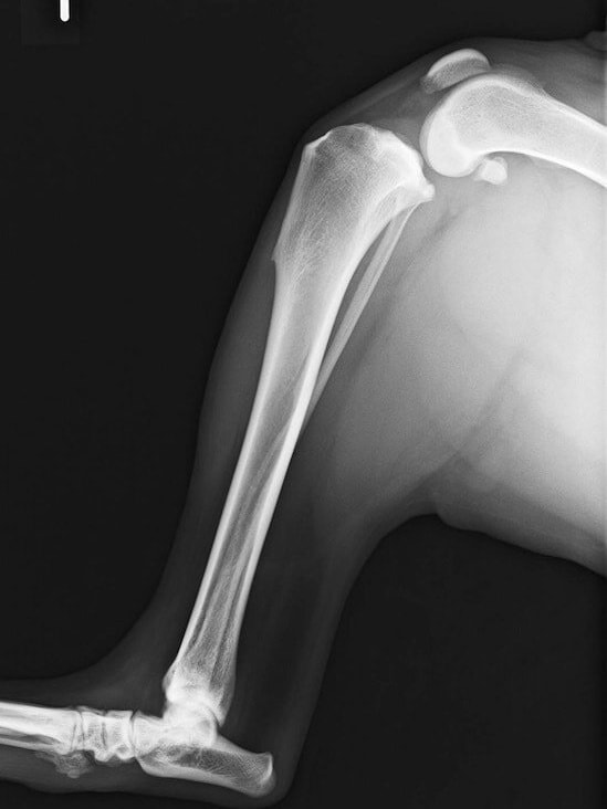
術前写真
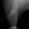
術後写真
手術前後のTPA(脛骨高平部の角度)を測定しています。
約29°から約10°へ矯正されています。
2023/09/19
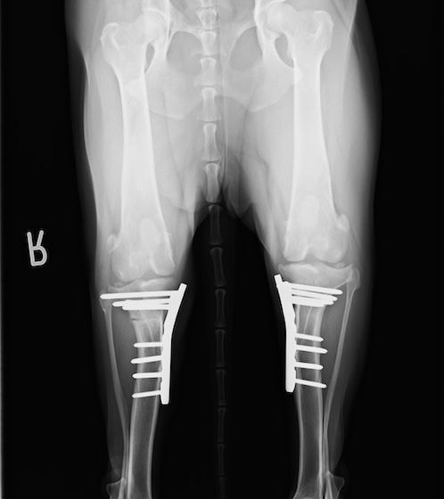
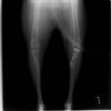
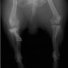
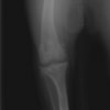
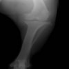
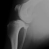
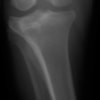
雑種 5歳
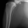
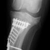
左後肢の挙上を主訴に来院されました。触診にて両関節の前方引き出し兆候、両膝蓋骨の内方脱臼を認めました。関節液検査より免疫介在性多発性関節炎は否定的でした。レントゲン検査にてfat pad signを伴う関節炎が認められたことから、前十字靭帯断裂と膝蓋骨内方脱臼(左GradeⅢ 右GradeⅢ〜IV)併発と診断し、手術を行いました。
手術は片足ずつ行い、両膝とも術中の関節鏡検査にて前十字靭帯の完全断裂と半月板損傷を確認しました。TPLO、半月板切除と滑車溝形成を始めとした膝蓋骨脱臼整復術を実施いたしました。膝蓋骨の安定化を測るために外側支帯を強固に縫合し、内側支帯は切除し縫合せずに開放状態にしています。
術後の歩行状態は良好です。
術前左後肢側面像
術前正面像
術後左後肢側面像
術後左後肢正面像
術前のTPAは左後肢33.1°右後肢26.8°でしたがTPLO実施により左後肢5.5°右後肢12°に矯正されました。
2020/12/15
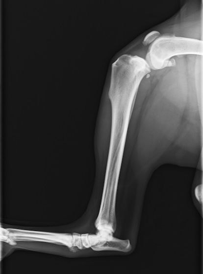
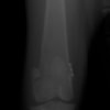
アメリカンコッカースパニエル 5歳
半年にわたる左後肢の跛行が認められるとのことで来院されました。触診にて左膝関節の疼痛、内側部の腫脹、膝蓋骨の内方脱臼を認めました。レントゲン検査にてfat pad signを伴う関節炎が認められたことから、前十字靭帯断裂と膝蓋骨内方脱臼( GradeⅢ)の併発と診断し、手術を行いました。術中の関節鏡検査にて前十字靭帯の完全断裂を確認、関節液検査にて感染を除外した後、TPLOと、滑車溝形成を始めとした膝蓋骨脱臼整復術を実施いたしました。
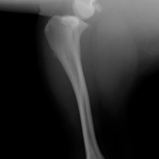
術前側面像
術前正面像
術後側面像
術後正面像
術前に25°であったTPAは、TPLO実施により7°に矯正されました。症例の歩行状態は良好です。
バーニーズマウンテンドック 4歳 避妊♀
突然の右後肢跛行を主訴に来院されました。整形外科学的検査において右膝に脛骨圧迫テストで陽性、前方引き出し徴候が認められました。神経学的検査において特に異常は認められませんでした。レントゲン検査において、関節液の貯留所見や脛骨の前方変位の所見が認められました。

関節鏡検査を実施いたしました。関節鏡検査では、重度の滑膜炎および前十字靭帯の完全断裂が認められました。半月板に損傷は認められませんでした。

断裂前十字靭帯の除去を行いました。その後 TTA(Tibial tuberosity advancement)を実施しました。


術後経過は良好で、後肢機能・筋肉量の改善目的で現在はリハビリテーションを行っています。
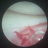
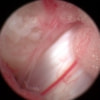
ミニチュアダックスフンド 9歳 未去勢♂
突然の非負重性の右後肢跛行を主訴に来院されました。触診上、右膝の伸展痛が認められ、整形外科学的検査において右膝の内外側の膝蓋骨脱臼(Grade Ⅱ)、脛骨圧迫テストで陽性が認められました。神経学的検査において特に異常は認められませんでした。レントゲン検査において、関節液の貯留所見や脛骨の前方変位の所見は認められませんでいた。

関節穿刺を行い、好中球はなく、少数のマクロファージや滑膜細胞が認められるました。膝蓋骨脱臼および前十字靭帯断裂による退行性の関節炎を疑い、関節鏡検査を実施いたしました。関節鏡検査では、重度の滑膜炎および前十字靭帯の完全断裂が認められました。内外側とも半月板に損傷は認められませんでした。


■ 外科的治療法
断裂前十字靭帯の除去を行いました。外側方向からのテンションが著しく、外側広筋と膝関節外側支帯の解放を行いました。膝関節伸展機構の著しいアライメント異常が認められたため、脛骨粗面転移術を実施しました。
写真の膝関節の垂直線を綿棒の木柄が表しており、遠位の脛骨粗面との位置関係が平行ではありません。
転移側の骨床は犬種特有の変形した表面であったため、転移後の骨片の圧着状態が改善するように変形表面をラウンドバーにて切削しました。滑車溝の著しい低形成が認められたため、滑車溝形成術を実施いたしました。

切断された関節包の縫縮を行いました。前十字靭帯断裂後の不安定性と内旋を解消するために、人工靭帯(fiber wire)によるラテラルスーチャー法を併用し安定化を図りました。
術後、整形外科学的検査における脛骨圧迫テストや前方引き出し兆候は認められませんでした。

膝関節が気になる方豊玉病院まで Tel:03-5912-1255








































































































































































