腫瘍内科
リンパ腫や白血病など抗癌剤治療が第一選択となる腫瘍症例や、外科的切除後に抗癌剤治療が必要となる腫瘍症例に対し、各種抗癌剤治療を行っています。
腫瘍の診断
近年、動物たちの寿命の延長に伴い、腫瘍の発生率は増加傾向にあります。ある報告では、全ての犬の23%が、特に10歳以上の犬では45%が腫瘍に関連し死亡しているとされています。腫瘍は体の表面に出来るものが最も発見されやすく、オーナー様自身が気付かれ来院されることが多いですが、他にもレントゲン検査やエコー検査、血液検査で初めて見つかる腫瘍も存在します。どのような腫瘍であれ、早期発見、早期治療が重要となります。そのため当院では定期的な健康診断の実施を推奨しております。
腫瘍の診断は、原発巣・リンパ節・遠隔転移の3点を中心に進めていきます。
1.原発巣の評価
原発巣とは、最初に腫瘍の発生した部位のことを指します。原発巣の評価として、まず視診、触診、レントゲン検査、エコー検査、血液検査などを行います。これらの検査により、腫瘍の大きさ、周囲組織との固着などを調べます。検査は、腫瘍の発生している部位により重要となる検査の方法も変化します。体の表面の腫瘍では視診、触診が重要となります。また、内臓や骨など体内に発生した腫瘍では、視診や触診は困難な場合が多く、それらの腫瘍ではレントゲン検査、超音波検査、CT検査による評価が重要となります。また、白血病など血液・リンパ系の腫瘍では、血液検査によって初めて腫瘍の存在が明らかになることがあります。
■ 視診:腫瘍の形、大きさ、色、自潰の有無などを確認します。
■ 触診:腫瘍の硬さ、周囲組織との固着などを確認します。
■ レントゲン検査:内臓や骨など肉眼上で確認できない部位の腫瘍を確認します。
■ エコー検査:内臓(特に腹部臓器)の腫瘍を確認します。
■ 血液検査:血液・リンパ系の腫瘍、また腫瘍の発生した部位に応じた血液検査項目の異常を確認します。
■ CT検査:レントゲン、エコー検査で確認できない腫瘍を確認します。また、摘出手術前に周囲組織との癒着や血管との位置関係など腫瘍の状態をより詳しく確認するために行うこともあります。
これらの検査により、腫瘍が確認されたら、更に詳しく調べるために、細胞診検査や、組織生検などを行い、腫瘍の種類を確認します。
■ 細胞診検査:細い針を腫瘤に刺すことにより細胞を採取し、どういった細胞から構成されているかを確認します。これにより、非腫瘍性の変化である炎症(細菌などの感染による)や過形成(正常組織の増殖)などと腫瘍を鑑別できることがあります。また、腫瘍であった場合、良性悪性の鑑別、腫瘍を構成する細胞の種類(上皮系、非上皮系)の鑑別ができることがあり、一部の腫瘍(リンパ腫,肥満細胞腫など)については細胞診により確定診断が可能となります。麻酔をかける必要がなく、動物への侵襲も少ないといった利点があります。ただし、腫瘍の一部の細胞しかとることができないため、有意な結果が得られないことがあるという欠点もあります。
■ 組織生検:腫瘍組織の一部を切り取り病理検査にかけることで腫瘍の種類を確認することができます。細胞診検査に比べ、大きく組織が得られるため高い確率で有意な診断が得られます。ただし、取る組織が大きくなるため、細胞診検査より動物への侵襲は大きく、全身麻酔が必要となる場合もあります。そのため、細胞診検査により有意な結果が得られなかった場合に適応となることが多くなります。
2.リンパ節の評価
腫瘍の全身への拡大は、主に血液に乗り広がる血行性転移と、リンパに乗り広がるリンパ行性転移に分けられます。このうちリンパ行性転移では、初めに原発巣の所属リンパ節に転移を起こします。体表のリンパ節については触診により、また、体内のリンパ節についてはレントゲン検査、超音波検査により、リンパ節の増大を確認します。
リンパ節の大きさ、硬さなどを確認し、必要に応じて、細胞診検査や生検を行い、リンパ節への腫瘍の浸潤の有無を確認します。
腫瘍の進行度を把握する上で、リンパ節の評価は重要となります。
3.遠隔転移の評価
遠隔転移とは、原発部位から離れた場所に腫瘍細胞が転移することを指します。腫瘍の種類にもよりますが、最も一般的に肺において認められ、肝臓、脾臓、骨など様々な部位に起きる可能性があります。
レントゲン検査、エコー検査などにより、遠隔転移の有無を確認します。リンパ節の評価同様、遠隔転移の有無も腫瘍の進行度を把握する上で重要となります。
4.その他の評価
腫瘍の評価が終了したら、安全に治療を進めていくために、全身の評価としての血液検査やレントゲン検査を実施し、腫瘍以外の異常を評価します。 すべての評価が終わりましたら、腫瘍の種類や発生部位に応じ、外科治療、化学療法、放射線治療などの治療を行って行きます。
腫瘍に対する治療法は、外科療法、化学療法、放射線療法の3つが中心となります。腫瘍の種類や発生部位などにより適応になってくる治療法がそれぞれ異なります。当院では、外科療法、化学療法による腫瘍の治療を行っています。放射線治療は特殊な装置が必要となるため、大学病院への紹介となります。
1.外科療法
多くの腫瘍で治療の第一選択になってくるのが手術による腫瘍の切除です。外科療法は大きく根治的手術と緩和的手術に分けられます。根治的手術では、腫瘍の根治を目的とし腫瘍の完全な切除を行います。緩和的手術では、完全な切除が不可能な腫瘍や、転移が存在する腫瘍の局所管理のために、緩和目的で行われます。外科療法のみで根治が望めない場合や、外科療法後の転移や再発の防止のために、必要に応じ化学療法や放射線療法を併用します。
2.化学療法
抗癌剤による腫瘍の治療の事を化学療法と呼びます。リンパ腫、白血病などと言った腫瘍では化学療法が治療法の第一選択となります。また、さまざまな腫瘍の外科手術後の補助的治療としてや、放射線治療との併用治療としても化学療法は行われます。化学療法は外科手術や放射線治療と異なり、全身への治療となるため転移の防止といった面で重要な役割を果たします。化学療法は腫瘍細胞だけでなく分裂の盛んな正常な組織(骨髄,消化管上皮など)にも障害をおこすため、血球減少症や嘔吐、下痢などを起こすことがあります。
3.放射線療法
高エネルギーの放射線を腫瘍に照射することにより、腫瘍細胞のDNAを直接的もしくはフリーラジカル発生を介し間接的に傷害させ腫瘍細胞を死滅させます。放射線治療は外科手術が困難な腫瘍に単独で行われたり、術前、術中、術後照射などの形で外科手術と合わせて行われます。放射線治療には特殊な装置が必要なため、適応となる場合は大学病院や専門病院へご紹介させていただきます。

リンパ腫とは、免疫細胞として働く白血球の1つであるリンパ球が腫瘍化する疾患です。犬・猫共に発生率の高い腫瘍の1つで、主に中・高齢で認められます。原因は、犬においてははっきり分かっていませんが、猫では猫白血病ウイルス(FeLV)および猫免疫不全ウイルス(FIV)との関連が認められています。
分類および症状
リンパ腫は、発生する場所によりいくつかの型に分類され、それぞれ症状や治療法、治療に対する反応、予後が異なります。
■多中心型
体表のリンパ節(下顎、肩甲骨の前、脇の下、鼠径部、膝等)の腫大が特徴です。犬で最も多い型ですが、猫では稀です。腫大したリンパ節は通常痛みを伴わず、症状を示さない動物が多いと言われていますが、元気・食欲の低下、体重減少、発熱等の症状が認められることがあります。
■消化器型
腸管や腸間膜リンパ節に発生する型です。猫で最も多く、犬では少ないと言われています。下痢や嘔吐、体重減少、食欲低下、吸収不良等の症状を示します。
■前縱隔型
胸腔内にある前縦郭リンパ節や胸腺の腫大が特徴です。犬・猫共に発生は少ない型です。腫大したリンパ節等の圧迫や胸水の貯留による呼吸不全を示すことがあります。
■その他
皮膚や眼、中枢神経系、鼻腔、骨、腎臓等、リンパ組織外から発生する型で、犬・猫共に稀です。症状は発生した臓器により異なります。
診断
診断は、上記「腫瘍の診断」に準じて行います。リンパ腫の確定診断に加え、全身状態や腫瘍の進行度の把握、リンパ腫の細胞学的・組織学的分類を行うことにより、治療方針を決定します。
治療および予後
リンパ腫は血液の細胞が腫瘍化した全身性の疾患のため、一部の例外を除き、全身に作用する化学療法が治療の第一選択となります。使用する抗がん剤は様々で、複数の抗がん剤を組み合わせる多剤併用療法と、1種類の抗がん剤を使用する単剤療法があります。リンパ腫の分類や動物の状態、通院回数等に応じて飼い主様と相談した上で、治療方針を決定します。「抗がん剤」というと、激しい嘔吐や脱毛等の強い副作用をイメージしますが、犬・猫は人に比べると抗がん剤治療による副作用が出にくく、起こった場合にも軽度な事が多いと言われています。
まれに、リンパ腫が1か所に限局して発生した場合等に、外科手術や放射線療法といった局所療法を選択することがあります。犬のリンパ腫は、無治療の場合ほとんどが約4~6週間で亡くなると報告されています。寛解(病変が縮小あるいは見た目上無くなる事)に持ち込み、生存期間を延ばすためには治療が必要です。リンパ腫は他の腫瘍に比べ化学療法に効果を示しやすく、多剤併用療法を用いた場合の寛解率は80~95%、中央生存期間は10~12か月と報告されています。
猫のリンパ腫の治療および予後に関しては報告が少なく、リンパ腫の型も多岐にわたるため、詳細が明らかになっていません。一般的には、犬よりも治療反応が良くないと言われており、多剤併用療法の反応率は50~80%、生存期間は4~6か月と報告されています。
※以上に記載した内容は、リンパ腫に関して簡略的にご紹介するためのものです。詳細については獣医師にお尋ね下さい。
症例紹介
当院において複数の抗がん剤を組み合わせて行う多剤併用療法を実施し、リンパ腫を長期コントロール出来た症例をご紹介致します。
■症例1
多中心型リンパ腫(低分化型) ミニチュア・ダックスフント 12歳 ♀(避妊済み)
主訴:下顎リンパ節の腫脹、元気・食欲あり身体検査所見:下顎の他、浅頚、腋窩、膝窩リンパ節の腫脹
診断:リンパ節の針生検を実施し、細胞診の結果「低分化型リンパ腫(高グレード)」と診断
治療および経過 :多剤併用療法(UW25プロトコール)を開始、1回目の抗がん剤の投与後、全てのリンパ節の縮小を確認(完全寛解)、その状態を維持しプロトコールを終了しました。8か月後、再発が確認されました。再発後は、内服による抗がん剤治療やレスキュー化学療法により、寛解と再発を繰り返し、リンパ腫の診断から約2年間生存しました。
■症例2
多中心型リンパ腫(低分化型) チワワ 6歳 ♀(避妊済み)
主訴:下顎リンパ節の腫脹、元気・食欲あり
身体検査所見:下顎の他、浅頚、膝窩リンパ節の腫脹
診断:リンパ節のFNAを実施し、細胞診の結果「低分化型リンパ腫」と診断
治療および経過:多剤併用療法(UW25プロトコール)を開始、3回目の抗がん剤の投与後、完全寛解を確認、その状態を維持しプロトコールを終了しました。本症例はこの後2度再発しましたが、再発が確認された後同様の多剤併用療法を実施、完全寛解となり3回目の多剤併用療法を終了しました。リンパ腫の診断から2年経った現在も良好に経過中です。
上記2症例は、多剤併用療法等の実施により2年間以上の生存期間を得ることが出来ました。報告によると、治療を受けたリンパ腫の犬のうち、約20%の症例のみが2年生存が可能とされています。治療への反応率や維持期間は、腫瘍の進行度や症状の有無等に依存すると言われています。
■症例3
消化器型リンパ腫(低分化型) チンチラ 4歳 ♀
主訴:肛門周囲の腫脹、便への鮮血の付着
身体検査所見:直腸の炎症および直腸検査にて6~7mm大の腫瘤を確認
診断:腫瘤のFNAを実施し、細胞診の結果「直腸リンパ腫(高グレード)」と診断。外科手術による直腸腫瘤の摘出を実施し、病理組織検査の結果「低分化型リンパ腫」と診断
治療および経過:手術により腫瘍の摘出を行っているため、術後の補助治療として多剤併用療法を開始しました。良好に経過していましたが、治療開始後9週目に食欲廃絶、排便困難、直腸壁の肥厚が認められました。再発の可能性を考慮し、レスキュー療法を開始、その後症状は消失し、抗がん剤治療を終了した後も再発せず、良好に経過しています。
猫のリンパ腫は一般的には治療への反応が良くないと言われていますが、本症例では外科手術と化学療法を組み合わせたことにより、良好な結果が得られたと考えられます。
■症例4
前縦隔型リンパ腫(低分化型) 雑種猫 3歳 ♀猫白血病ウイルス陽性
主訴:食欲低下、えずき、喉元の喘鳴音
身体検査所見:軽度脱水、可視粘膜色正常、心肺音異常なし、腹腔内触知物なし、体表リンパ節腫脹なし
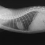
診断:胸部レントゲン検査にて、前縦隔領域に不透過性亢進領域を確認しエコー検査にてFNAを実施。細胞診の結果「低〜中分化型リンパ腫」と診断
治療および経過 :多剤併用療法(UW25プロトコール)を開始。一般状態の改善が認められており、現在も治療中です。


前胸部にみられた不透過性領域の退縮が認められます
猫の前縦隔型リンパ腫は発症に猫白血病ウイルスとの関連があるとされているリンパ腫です。以前は猫のリンパ腫の大部分を占めていましたが、近年は猫白血病ウイルスに罹患している猫が減少している影響により、前縦隔型リンパ腫も減少傾向にあると言われています。前述の通り治療に関する予後や報告は少ないものの、他のリンパ腫と同様に抗がん剤治療への反応がみられるとされています。
肥満細胞とは、粘膜下組織や結合組織などに存在する細胞で、炎症や免疫反応などの生体防御機構に重要な役割を持つ細胞です。細胞質内に存在する顆粒の中には、ヒスタミン、セロトニン、ヘパリンなど様々な生理活性物質が含まれています。
肥満細胞腫は、肥満細胞が腫瘍性に増殖したもので、皮膚や皮下にできる腫瘍の中ではとても多く、日常的によく見かける悪性腫瘍の一つです。大型犬やパグによく見られ、多くは中〜高年齢で発生します。皮膚の様々な部分に発生し、病理組織的グレードや臨床ステージによって挙動が異なってきます。
診断
診断は、上記「腫瘍の診断」に準じて行います。肥満細胞腫の確定診断に加え、全身状態や腫瘍の進行度の把握、転移などにより、治療の方針を決定していきます。
肥満細胞は、刺激により顆粒内の生理活性物質を放出する脱顆粒を起こすことがあります。これにより引き起こされる皮膚の発赤や蕁麻疹などを「ダリエ兆候」といいます。ダリエ兆候がみられた部位には肥満細胞腫が播種している可能性があるため、肥満細胞腫の過度の触診や乱暴な扱いは厳禁とされています。
治療
肥満細胞腫の治療では、外科手術や放射線治療などの局所治療が重要であるとされています。
しかし、
・組織グレードが高い
・脈管内浸潤やリンパ節転移が認められる転移性肥満細胞腫
・外科手術で十分なマージンが確保できない
・他の疾患などにより局所療法が行えない
などの場合には、抗がん剤による化学療法が適応となります。
肥満細胞腫の治療には、一般的な抗がん剤による治療の他に、分子標的薬としてチロシンキナーゼ阻害薬を使用することがあります。
分子標的薬とは、癌細胞に特徴的な分子を標的として攻撃する治療法であり、標的分子以外の生体への影響は小さく、副作用も少ないとされています。標的分子遺伝子の変異がある症例では効果的な治療と言われています。
※以上に記載した内容は、肥満細胞腫に関して簡略的にご紹介するためのものです。詳細については獣医師にお尋ね下さい。
症例紹介
当院において外科切除後、分子標的薬での治療を行った症例を紹介します。
症例1
肥満細胞腫(グレード2) トイ・プードル 9歳 避妊♀
主訴:体幹部の腫瘤(発赤あり)
身体検査所見:左体側に直径2?大の腫瘤が認められました。
診断:腫瘤のFNAを実施し、細胞診の結果「肥満細胞腫」と診断。外科手術による腫瘤の摘出を実施し、病理組織検査の結果「肥満細胞腫(グレード2)」と診断。同時に遺伝子検査にてc-kit遺伝子の変異が認められました。
治療および経過:手術により腫瘤を摘出し、術後に補助療法として分子標的薬(イマチニブ)による治療を行いました。
現在は術部も良好であり、元気や食欲も安定しており、良好に経過しています。
今後も副作用などに注意し、経過を観察していく予定です。





























